गले में छालों करें तुरंत ये घरेलू उपाय कहीं बन जाए बड़ी परेशानी की वजह
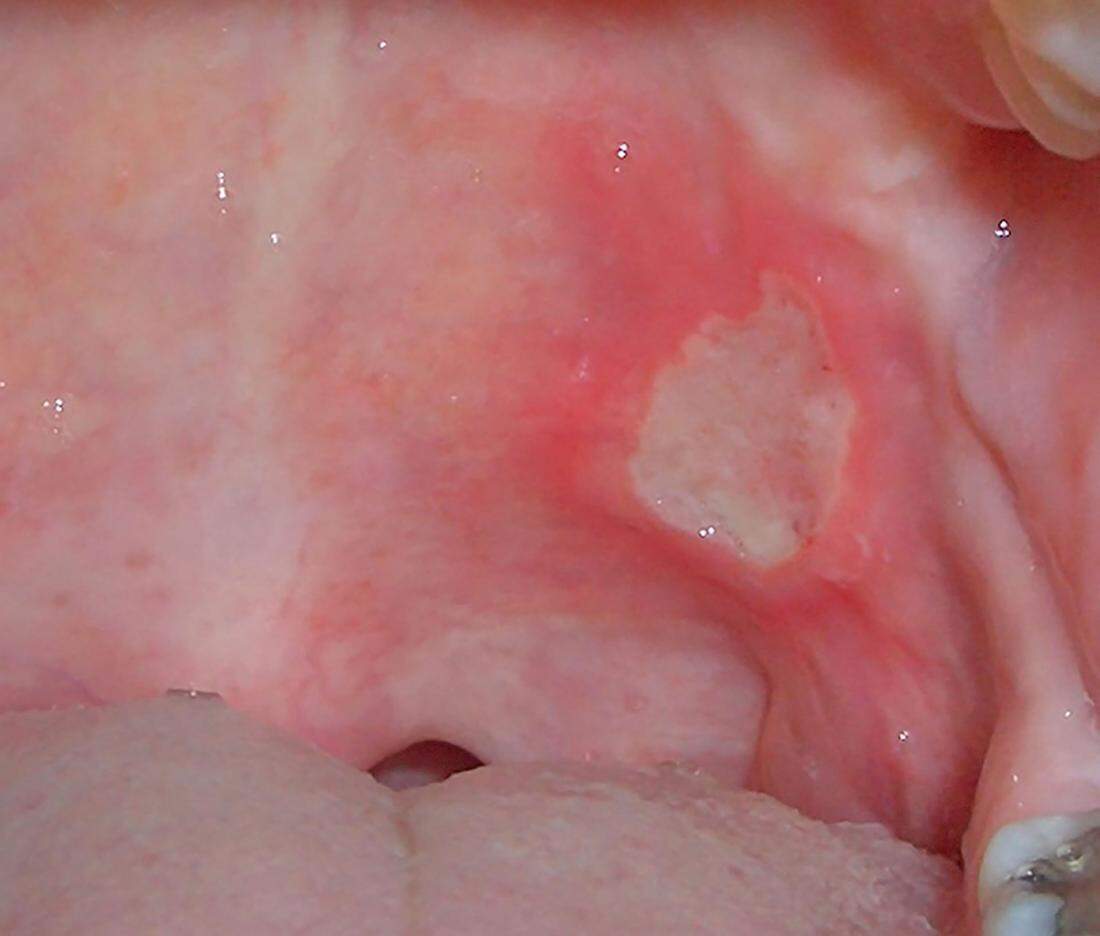
जयपुर । मुंह में छाले हो जाना बहुत ही आम परेशानी होती है । बच्चा छोटा होता है तब की से बूढ़े हो जाने तक ना जाने कितनी बार मुंह में छाले हो जाने की परेशानी हो जाती है । पर गले में छाले हो जाने की परेशानी आम परेशानी नहीं है । यह परेशानी ना सिर्फ आपको खाने पीने में तकलीफ देती है बल्कि यह आगे चलकर आपको कैंसर हो जाने का खतरा भी बन सकती है ।
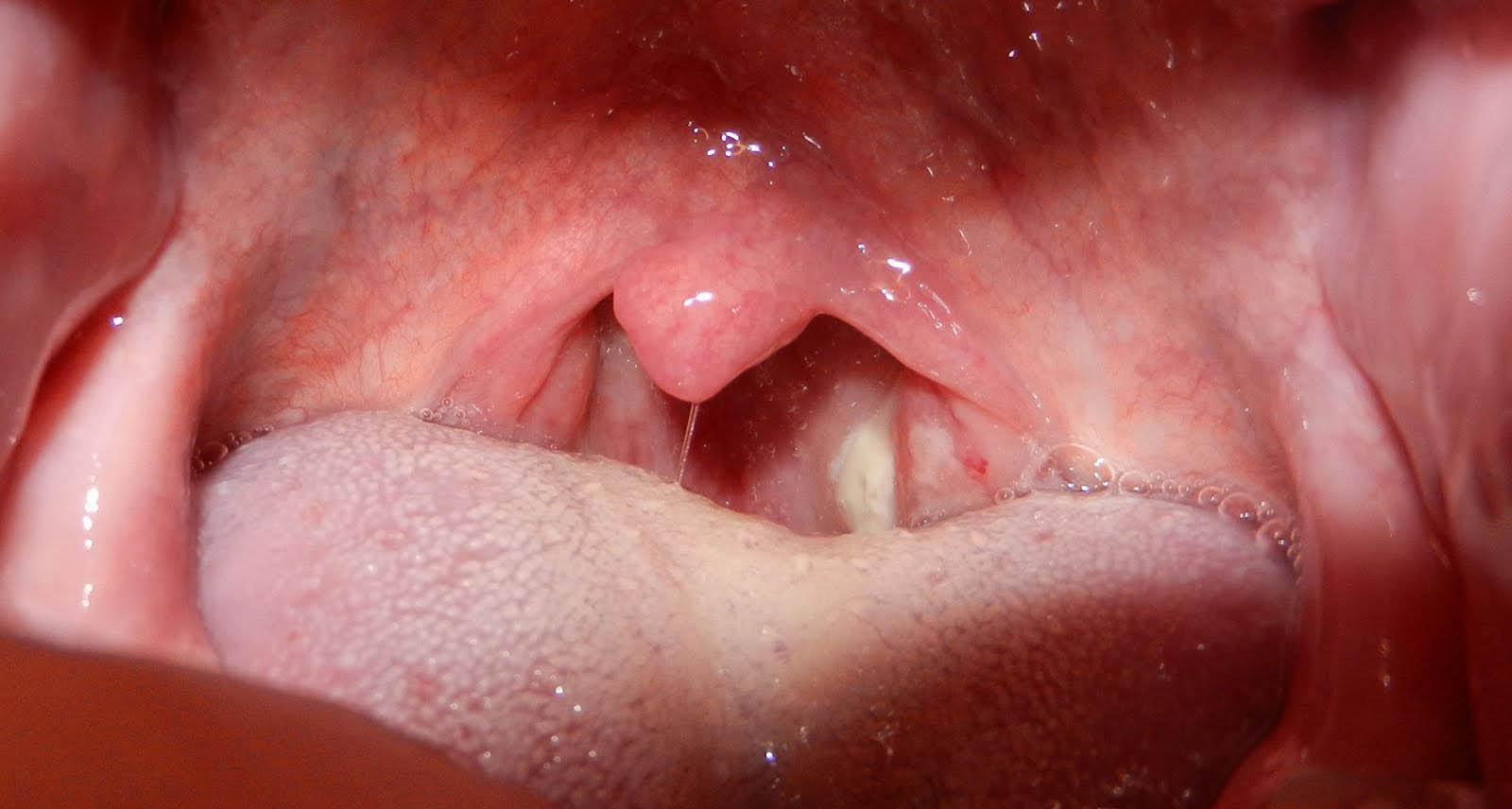
गले में टॉन्सिल होना , फेनेञ्जाइट्स होना यह सब बीमारियाँ बहुत आम है । जो की एक प्रकार का इन्फेक्शन है । पर गले में छाले होना आपको किसी प्रकार की बीमारी और एलर्जी की ओर इशारा करता है । यह एलर्जी ज्यादा मिर्ची वाला भोजन करने साथ ही ऐसिडिटी की परेशानी , आंत के साफ ना होने और पेट की खराबी की और इशारा करता है ।
क्या है इसके लक्षण ?
गले में तेज़ दर्द रहना , कुछ भी खाने पीने में कठिनाई महसूस होना , गले से खून आना , ब्रश करते समय खून आना , उल्टी की परेशानी , मुंह में से बदबू आना , गले में हल्की सूजन बनी रहना ।
उपाय :- इससे निपटने के लिए हल्दी वाले दूध का सेवन करना अच्छा होगा । इसके साथ ही हल्के गरम पानी में हल्दी और नमक मिला कर गरारे करने से भी बहुत लाभ होगा । माउथ वाश का भी उपयोग करना इस परेशानी मे बहुत आराम देता है । इतना ही नहीं इससे मुंह में होने वाले बेक्टीरिया भी आसानी से मर जाते हैं और मुंह को स्वस्थ बनाते हैं ।
आप इसके साथ ही अधरक का रस और शहद को मिलाकर दिन में बार सेवन करने से आपको बहुत जल्द लाभ मिलेगा । सिंघाड़े का सेवन भी आपको गले के छालों में बहुत राहत देता है ।
छालों पर ध्यान ना देने पर यह कैंसर की परेशानी का भी कारण बन सकता है इतना ही नही इन छालों का 3 दिन में ठीक हो जाना बहुत जरूरी है । छालों के समय सोते वक्त गर्दन को ऊंचाई की तरफ रखें इससे आपको तकलीफ कम महसूस होगी ।

