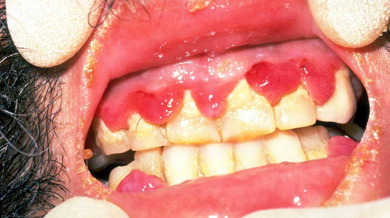
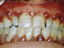
स्कर्वी रोग होता है बहुत ही घातक बच सकते हैं इन सामान्य आहारों से
जयपुर । आज कल बीमारियों का आलम कुछ ऐसा है की हम सांस भी लेते हैं तो कोई न कोई बीमारी हो ही जाये । आज कल का जिस तरह का हम खानपान कर रहे हैं उसके चलते हमारा बीमार होना बहुत ही लाज़मी सी बात है । उसके साथ ही भारा के खानपान या फास्ट फूड्स में विटामिन्स और मिनरल्स की भी कमी होती है जो हमारे शरीर को कमजोर बनाते हैं ।
ऐसे में शरीर के लिए सबसे ज्यादा जरूरी विटामिन जो की है विटामिन सी वह पूर्ण रूप से मिल नही पाता है । आप सोच रहे होंगे की हम इस विटामिन को इतना ज्यादा महत्व क्यों दे रहे हैं । दरअसल मात्र ये एक ऐसा विटामिन है जो की हमको सबसे ज्यादा गंभीर बीमारी का शिकार बनाता है । विटामिन सी की कमी के कारण स्कर्वी और कैंसर की बीमारी होती है ।
आज हम आपको इस परेशानी से बचाने का तरीका बताने जा रहे हैं । आप बिना किसी मेहनत के बहुत ही कम खर्च में इस परेशानी से बच सकते हैं । आइये जानते हैं इस बारे में ।
आंवला
आंवला में भी विटामिन सी होता है। आंवला की सूखी कैंडी या आंवला का रस भी स्कर्वी रोग में फायदा देता है। इतना ही नहीं आंवले का मुरब्बा खाना भी स्कर्वी रोग के उपचार में लाभदायक है।
अमचूर पाउडर
कच्चे आम को सुखाकर, उसे पीसकर पाउडर बना लें। यह अमचूर पाउडर खाने से पहले, हर रोज एक छोटी चम्मच खाएं। यह भी शरीर में विटामिन सी की कमी को पूरा करता है।
स्ट्रॉबेरी
स्ट्रॉबेरी विटामिन सी का उच्च स्त्रोत होती है। स्ट्रॉबेरी को सलाद, स्मूदी आदि किसी भी रूप में खाना स्कर्वी रोग में फायदा देता है।
संतरा
संतरा में एस्कॉर्बिक एसिड की उच्च मात्रा होती है। रोजाना सुबह संतरे का एक गिलास जूस पिएं। इससे शरीर में विटामिन सी की कमी तो पूरी होगी ही साथ ही अन्य पोषक तत्व भी मिलेंगे, जो शरीर को स्वस्थ बनाएंगे।
नींबू
नींबू में विटामिन सी अधिक मात्रा में होता है। ऐसे में रोजाना नींबू का पानी पीना शरीर में विटामिन सी की कमी को पूरा करता है। स्वाद के लिए नींबू के साथ शहद भी मिलाया जा सकता है, लेकिन नींबू पानी में चीनी मिलाकर न पिएं।
पपीता
स्कर्वी रोग के उपचार में पपीता भी बेहद प्रभावी फल है। पपीता रोज खाने से भी शरीर में विटामिन सी की कमी पूरी होती है और स्कर्वी रोग से बचाव होता है।
अजवायन के फूल
स्कर्वी के उपचार के लिए अजवायन के फूल भी बेहद प्रभावी हैं। अजवायन के फूल में भी उच्च मात्रा में विटामिन सी मौजूद होता है। अजवायन के फूल को घरेलू नुस्खों के अलावा कई आयुर्वेदिक दवाओं में भी प्रयोग किया जाता है।

